



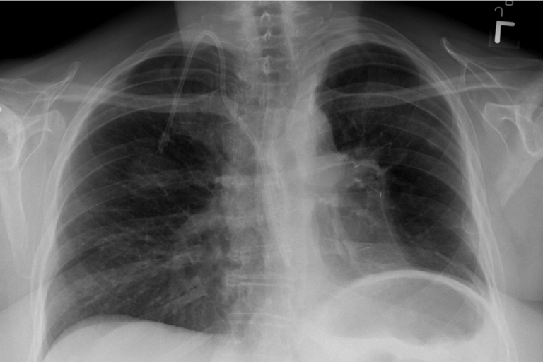
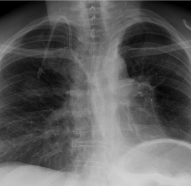
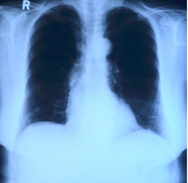
तुमच्या एक्स-रेचा फोटो काढा आणि तो इथे टाका
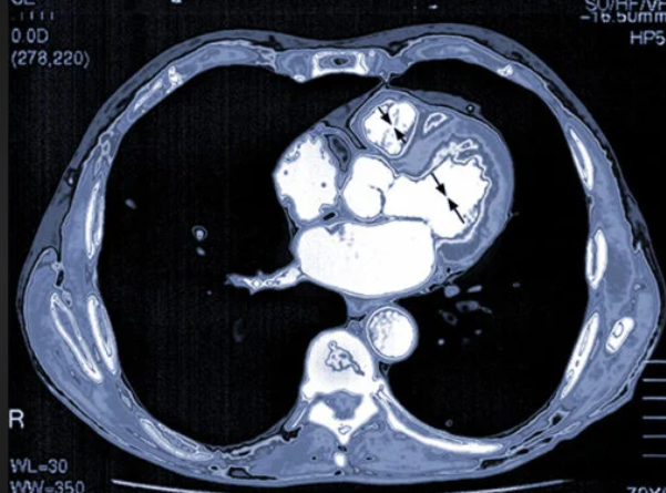
तुमच्या सीटी स्कॅनचा फोटो काढा आणि तो इथे टाका




तुमच्या एमआरआयचा फोटो काढा आणि तो इथे टाका




! Disclaimer For second opinion and Educational purposes this gives a Clear and Good Diagnosis but you advice to Consult a Physician
! ही माहिती केवळ शैक्षणिक उद्देशांसाठी आणि दुसरे मत (Second Opinion) घेण्यासाठी आहे. यामुळे स्पष्ट व योग्य निदानाची कल्पना मिळू शकते; मात्र अचूक निदान व उपचारांसाठी कृपया डॉक्टरांचा (वैद्यकीय तज्ञांचा) सल्ला घ्या
